Diyarbakır’da, 50 yaşındaki İ.U., diş tedavisi sonrasında nefes darlığı ve öksürük şikayetleri ile hastaneye başvurdu. Bir yıl boyunca astım tedavisi gören hastanın rahatsızlığının kaynağı, yuttuğu silikon oldu.
Silikonun akciğere kaçması şikayetlere neden oldu
2023 yılının Ekim ayında diş çekimi sonrası implant ölçüsü için kliniğe giden İ.U., farkında olmadan kullanılan silikon maddesini yuttu. Bu durum, zamanla nefes darlığı ve sürekli öksürük şikayetlerine yol açtı. Başlangıçta astım teşhisi konulan İ.U., 1,5 yıl boyunca tedavi aldı.
Gerçek sebep, akciğere yerleşen yutulan silikon
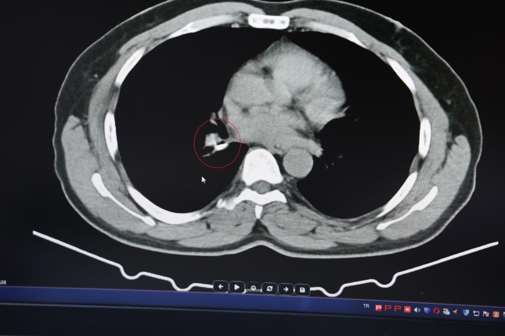
İ.U., Prof. Dr. Abdurrahman Şenyiğit’e başvurduğunda yapılan tetkiklerde, akciğere yerleşen maddenin yutulan silikon olduğu tespit edildi. Tomografi ve bronkoskopi ile doğrulanan bu bulgu sonrasında silikon çıkarıldı ve hastanın şikayetleri hızla ortadan kalktı.

Prof. Dr. Abdurrahman Şenyiğit, yapılan açıklamada, diş tedavilerinde kullanılan silikonlu materyalin akciğere kaçmasının hastada fark edilemeyecek şekilde uzun süre kalabildiğini belirtti. Şenyiğit, "Hastamıza maalesef 2 yıldan beri astım tanısı konulmuş ve sürekli tedavi verilmiştir. Hasta bize geldiği zaman yapılan tomografide sağ akciğer ana bronşun distalinde şüpheli lezyon gördük. Uyguladığımız bronskokopide yabancı maddenin silikon olduğunu tespit ettik. Onu çıkardıktan sonra da hastada bir rahatlama meydana geldi" ifadelerini kullandı.
Diş ölçümlerinde dikkatli olunmalı

Prof. Dr. Şenyiğit, silikonlu diş ölçümlerinin dikkatli yapılması gerektiğini vurguladı. Bu yumuşak madde, zamanla bronş yapısını alarak kendini gizleyebilir. Bu tür durumlar için şikayetler ortaya çıktığında, doğru tanı konulması adına titiz bir inceleme yapılması gerektiği belirtildi.
Hastanın şikayetleri silikon çıkarıldıktan sonra hızla iyileşti ve 24 saat içinde öksürüğü tamamen geçti.





